Dodane: Marta Data: 2023-12-15 09:45:14 (czytane: 15405) 
Grzegorz Lasak, Dyrektor ZOZ w Busku-Zdroju, poinformował, że lekarze z placówki, lek. med. Marcin Zioło oraz lek. med. Mateusz Majcher, zostali zaproszeni do Samodzielnego Publicznego Szpitala Klinicznego nr 4 w Lublinie, aby podzielić się swoją wiedzą, kompetencjami, doświadczeniem i warsztatem pracy.
Z ogromną satysfakcją informuję, że lek. med. Marcin Zioło – Kierownik Oddziału Chirurgii Urazowo Ortopedycznej oraz lek. med. Mateusz Majcher zostali zaproszeni przez Prof. Martę Tarczyńską oraz Prof. Krzysztofa Gawędę z Samodzielnego Publicznego Szpitala Klinicznego nr 4 w Lublinie, aby podzielić się swoją wiedzą, kompetencjami, doświadczeniem i warsztatem pracy.
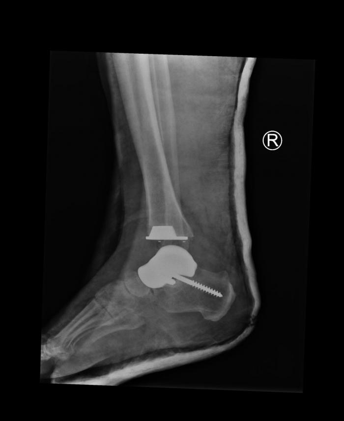
W szpitalu klinicznym nasi lekarze, w dniu 14 grudnia 2023 r., wykonali skomplikowany zabieg wszczepienia implantu kości skokowej custom made.
Warto podkreślić, że tego rodzaju innowacyjny i skomplikowany zabieg nasi specjaliści wykonali wcześniej w buskim szpitalu. Był to jeden z pierwszych zabiegów w Polsce z wykorzystaniem implantu kości skokowej custom made czyli „szyte na miarę” i dopasowywane indywidualnie do pacjenta. Pacjent miał już za sobą pierwotny i rewizyjny zabieg endoprotezoplastyki stawu skokowego. Kolejna operacja stanowiła wyzwanie, ponieważ w jego przypadku nie można było już zastosować konwencjonalnej protezy z powodu dużych ubytków kostnych. Spersonalizowana endoproteza powstała na podstawie badania tomografii komputerowej. Stworzono implant, który był idealnie dopasowany do budowy kości pacjenta. Odwzorowano powierzchnie stawowe pacjenta oraz fizjologiczny ruch stawu z maksymalnie osiągalną dokładnością – 0,1 mm.
Cieszymy się, że Nasi lekarze mogą służyć pomocą i dzielić się swoim doświadczeniem z innymi lekarzami w Polsce, w tym ze specjalistami z klinik.
Serdecznie gratuluję ogromnego sukcesu.
Grzegorz Lasak
Dyrektor ZOZ w Busku -Zdroju
/Artykuł sponsorowany/
Sezon motocyklowy 2026 na Ponidziu rozpoczęty! (foto)
Internet poruszony. Ponad 100 milionów złotych dla chorych dzieci (video)
IX Otwarcie Sezonu Motocyklowego w Pińczowie: Parada motocykli i koncert THE STICKS
Grzegorz Braun w Pińczowie. Finał kampanii Konrada Liberka - zapis transmisji
Paszport dla dziecka? Wniosek w mObywatelu. Formalności jeszcze nigdy nie były tak proste
Balony znów nad Pińczowem. Znamy termin wydarzenia w 2026 roku
Kaplica św. Anny w Pińczowie ponownie otwarta dla zwiedzających
Paszport dla dziecka? Wniosek w mObywatelu. Formalności jeszcze nigdy nie były tak proste
SFD rozwija sieć influencerów - 1000 twórców w Europie
83 lat temu w getcie warszawskim wybuchło powstanie
Kolej do Buska-Zdroju coraz bliżej. Samorządy mówią jednym głosem (foto)
1,5% DLA HOSPICJUM W BUSKU-ZDROJU
Strażacy ćwiczyli w terenie. Jak wyglądały działania 'Obozowisko 2026'? (foto)
ZUS informuje: zmiany w obszarze zwolnień od pracy oraz orzecznictwie lekarskim
13 kwietnia obchodzimy Dzień Pamięci Ofiar Zbrodni Katyńskiej
II Buskie Ogólnopolskie Spotkania Taneczne już w czerwcu
Buscy karatecy z medalami Ogólnopolskiego Turnieju w Starachowicach
Trwają zapisy do Pucharu Tymbark. Dominika Grabowska zachęca do udziału
Nowe wzmocnienia AKS 1947 Busko-Zdrój przed sezonem 2025/26
80-lecie Pogoni Staszów: Mecz Przyjaźni z Ruchem Chorzów już w sobotę
Dziś weczorem Wiktor Skiba i Marian Ivanitskiy walczą w Polskiej Lidze Boksu!
Wiktor Skiba zwycięża w walce z Krystianem Kopciem! W niedzielę walczy Partryk Głuch!
Brązowy medal Mistrzostw Polski dla Połańca!
Internet poruszony. Ponad 100 milionów złotych dla chorych dzieci (video)
Balony znów nad Pińczowem. Znamy termin wydarzenia w 2026 roku
18. Ogólnopolski Festiwal Piosenki im. Wojtka Belona 'Niechaj zabrzmi Bukowina'
Kulturalny maraton na Ponidziu. Setki wydarzeń do końca 2026 roku
Bajkowy Korowód w Pacanowie. Konkurs z nagrodami dla uczestników
Dzień Kobiet na kieleckim deptaku. Jarmark Wiosenny i koncert Norbiego
Kruche piękno porcelany. Wyjątkowa wystawa otwarta w Pińczowie (foto/video)
Koziołek Matołek wyrusza do Indii. Konkurs komiksowy dla młodych twórców
50. Jubileuszowe Buskie Spotkania z Folklorem
Komedia idealna na Dzień Kobiet. 'Bonobo - randka w ciemno' już 8 marca w Kielcach
Grzegorz Braun w Pińczowie. Finał kampanii Konrada Liberka - zapis transmisji
Wybory burmistrza Pińczowa: ośmiu kandydatów spotka się na debacie
Świętokrzyskie struktury Koalicji Obywatelskiej z nowym Zarządem
Wizyta Prezydenta Karola Nawrockiego w naszym regionie
Pińczów wybierze nowego burmistrza. Głosowanie zaplanowano na 26 kwietnia
Włodzimierz Badurak rezygnuje z funkcji burmistrza Pińczowa
Ekrem Imamoglu laureatem Nagrody im. Prezydenta Pawła Adamowicza
Podsumowanie programu 'Bezpieczny Senior - Świadomy Senior' w Pińczowie
Prezydent RP Karol Nawrocki po zaprzysiężeniu - pyta, co słychać w Świętokrzyskiem (video)
Miłośnicy motocykli w niedzielę 26 kwietnia 2026r. ponownie spotkają się w Pińczowie, by wspólnie zainaugurować nowy sezon. IX edycja wydarzenia zapowiada się jako dzień pełen atrakcji, w którym nie zabraknie efektownej parady, części oficjalnej oraz koncertu.